Doenças transmitidas por saliva de cachorro
Ver fichas de Cachorros
Sabia que existem doenças são transmitidas pelos cães através da saliva? Embora não seja uma via principal de contágio para quase nenhuma doença, exceto a raiva, a saliva dos cães é sim uma via para determinados parasitas, infecções bacterianas ou virais para os humanos, sendo algumas delas potencialmente graves.
Se você quer conhecer as doenças transmitidas por saliva de cachorro, ou dito de outra forma, as zoonoses que podem ser transmitidas pela saliva canina, continue lendo este artigo do PeritoAnimal.
Raiva
A raiva canina é a doença transmitida pela saliva dos cachorros e amplamente conhecida. Esta doença infecciosa é causada por um vírus do gênero Lyssavirus e da família Rhabdoviridae, que tem predileção pelo sistema nervoso central do animal que infecta, seja um cão, um gato, um furão ou um ser humano, entre outros animais. Além disso, entre esses animais ocorre o contágio por meio de mordidas, pois veiculam a saliva infectada e podem passar até meses desde o contágio até que apareçam os sintomas.
Sintomas
Este rabdovírus induz uma paralisia flácida devido a uma síndrome do neurônio motor inferior que passa a ser do neurônio motor superior e do córtex cerebral, o que produz uma encefalite que sempre leva à morte do indivíduo infectado após um coma e insuficiência respiratória. Antes disso, surgem outros sintomas nas pessoas, como medo da água, mudanças de humor, febre, náuseas, vômitos, espasmos musculares, dor no local da mordida e maior sensibilidade, dificuldade para engolir, alucinações, formigamento no local da mordida e perda da função muscular.
Nos cachorros, surgem sintomas como maior agressividade e irritabilidade, convulsões, redução no reflexo pupilar, corneano e palpebral, tremores, desorientação, morder ou atacar o ar, medo, irritabilidade, ataxia e fúria. Felizmente, a raiva está erradicada na maior parte do planeta, embora não em todas as regiões. Por isso, é importante vacinar os cães contra a raiva nos lugares onde ela continua presente.
Infecção por Capnocytophaga canimorsus
A bactéria Capnocytophaga canimorsus é um agente saprófito que vive habitualmente na boca dos cachorros, especialmente nas gengivas. Portanto, pode ser facilmente transmitida através da saliva, por qualquer lambida ou mordida que os cães façam a uma pessoa.
As cepas mais nocivas são encontradas apenas em 10% dos cães. Se esses mordem ou lambem uma ferida de uma pessoa, pode desencadear uma doença devastadora no ser humano. No entanto, as estatísticas mostram que isso acontece em cerca de quatro casos por milhão de pessoas, de modo que não muito comum. Isso geralmente ocorre em pessoas imunodeprimidas, alcoolistas ou que sofrem de algum problema no baço.
Sintomas
No início da infecção, geralmente apresentam-se febre, náuseas, mal-estar geral e sintomas semelhantes aos da gripe. No entanto, uma vez que a infecção está estabelecida, cerca de 30% dos casos terminam em morte e muitos sobreviventes requerem amputações devido às gangrenas causadas pela bactéria.
Leptospirose
Embora a principal via de contágio seja a urina, a leptospirose canina também pode ser transmitida de um cachorro para uma pessoa através da saliva contaminada com restos de urina infectada com a bactéria Leptospira. Nos cães, provoca sinais clínicos como febre alta, urina escura com sangue, icterícia, desidratação ou gastroenterite hemorrágica.
Sintomas
Geralmente, em humanos, leva de uma a duas semanas para que os sintomas se manifestem. Normalmente, começam rapidamente com sintomas parecidos aos de um resfriado. Depois, a doença pode ser leve e manifestar sintomas como vômitos, calafrios, tosse seca, febre, dores de cabeça, calafrios, vermelhidão na conjuntiva, linfadenopatia, aumento do tamanho do baço ou do fígado, rigidez e sensibilidade muscular e erupções cutâneas, ou pode agravar-se até produzir uma infecção grave em órgãos como os rins, o cérebro e o fígado, colocando a vida do indivíduo em risco.
Giardíase
Embora a Giardia seja um parasita flagelado do tipo protozoário que infecta os cães, contaminados através da expulsão de cistos pelas fezes, nossos cachorros podem lamber a região anal e ficar com alguns deles. Posteriormente, ao lamber ou esfregar nossas mãos com sua saliva infectada, podemos levar as mãos à boca, ocorrendo assim o contágio.
Neste outro post você encontrará todos os detalhes: "Giárdia em cães - Sintomas, contágio e tratamento".
Sintomas
Esses parasitas, geralmente Giardia intestinalis, costumam produzir sintomas no trato digestivo como diarreia mucosa ou aquosa, apesar de que estas também possam ser subclínicas.
Campilobacteriose
Da mesma forma que no caso anterior, as pessoas podem se contagiar através da saliva dos cachorros, mas, desta vez, trata-se da bactéria Campylobacter jejuni. Além disso, muitos cães são portadores assintomáticos da bactéria, o que aumenta o risco de infecção por campilobacteriose em humanos.
Sintomas
Trata-se de uma infecção que é a causa de muitas gastroenterites na população, apresentando sintomas como febre, dor abdominal e diarreia.
Pasteurelose
Pasteurella multocida é uma bactéria que pode ser encontrada naturalmente na boca e no aparelho respiratório dos cães, portanto, a saliva dos nossos cachorros pode ser uma fonte de infecção frequente para humanos, desde que tenhamos alguma ferida. O contágio, portanto, pode ocorrer pelo contato de uma ferida com a saliva de um cão portador da bactéria ou após uma ferida causada por uma mordida desse animal.
Sintomas
Após o contágio, a infecção se caracteriza pelo desenvolvimento de uma celulite com ou sem abscessos que drenam pus ou sangue. Em casos raros, pode ocorrer até mesmo uma artrite séptica ou uma osteomielite por afetação óssea, sendo mais frequentes em pessoas com próteses articulares, artrite reumatoide ou tratadas com corticoides.
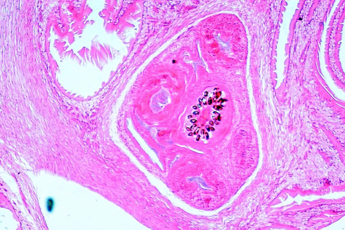
Nematelmintos
Nossos cães podem ser hospedeiros de muitos parasitas internos, sendo um grupo muito importante o dos vermes nematelmintos. Esses parasitas dirigem-se normalmente ao sistema gastrointestinal dos cães, em particular ao intestino, no qual produzem inflamação e também danos diretos, como diarreia, mal-estar abdominal e perda de peso. Alguns desses nematelmintos que podem parasitar os cães pertencem aos gêneros Ancylostoma, Toxocara e Ascaris. A forma de transmissão desses parasitas é por via fecal-oral, através da ingestão de ovos do parasita eliminados com as fezes dos cães infestados. Pode ocorrer a transmissão ao ser humano através da saliva dos nossos cachorros quando estes esfregam ou lambem o ânus e posteriormente tocam nossas mãos ou nossa boca.
Sintomas
Após o contágio, os sintomas nos humanos podem variar em função do tipo específico de parasita, mas geralmente produzem sintomas gastrointestinais como diarreia e dor abdominal, entre outros.
Para evitar que isso ocorra, é fundamental manter um plano de desparasitação adequado para nossos cães, seguindo as orientações do veterinário.
Platelmintos
Assim como no caso anterior, após um cão lamber a região anal e posteriormente levar sua saliva à nossa boca após lamber nossas mãos ou rosto, e depois tocarmos a boca com essas mãos contaminadas com saliva portadora de ovos de platelmintos ou tênias sem as ter lavado previamente, podemos ser infectados por esses parasitas.
Esse tipo de parasita se caracteriza por liberar os ovos através das fezes, que são visíveis macroscopicamente como grãos de arroz, e por interferir na absorção de nutrientes do hospedeiro, enfraquecendo-o gradualmente. Embora coma e tenha apetite, o cachorro afetado perde peso por não conseguir absorver os nutrientes. A principal tênia que se transmite por essa via através dos cães é Echinococcus granulosus, causadora do cisto hidático em humanos.
Sintomas
O ser humano atua como hospedeiro intermediário enquanto o cão é o hospedeiro definitivo, já que a tênia evolui até seu estado adulto localizado no intestino canino. No caso dos humanos, os ovos evoluem para larvas que não se alojam no intestino, mas a partir daí migram através das veias mesentéricas ou dos vasos linfáticos, sendo levadas pelo sistema circulatório a qualquer parte do organismo, desenvolvendo-se principalmente no fígado em 65-75% dos casos após chegarem pela veia porta.
Se a hipótese anterior não ocorrer, tais parasitas se dirigirem pelas veias supra-hepáticas, pela veia cava inferior, chegando ao coração direito e posteriormente saindo pela artéria pulmonar, alcançam o pulmão em até 30% dos casos. Se evitarem essas duas principais localizações e, pela circulação sanguínea, chegarem a qualquer outro órgão como o rim, o peritônio, o cérebro ou os ossos, também ocorre o cisto hidático. O crescimento deste pode causar sintomas dependendo da localização, como sangramentos, compressão vascular, atrofias, hipertensão craniana, icterícia, insuficiência hepática, doenças pulmonares ou sintomas neurológicos, entre outros.
Agora que você conhece as doenças transmitidas por saliva de cachorro, lembre-se de manter um cuidado preventivo adequado, tanto para proteger o animal quanto os humanos que vivem com ele.
Este artigo é meramente informativo, no PeritoAnimal.com.br não temos capacidade para receitar tratamentos veterinários nem realizar nenhum tipo de diagnóstico. Sugerimos-lhe que leve o seu animal de estimação ao veterinário no caso de apresentar qualquer tipo de condição ou mal-estar.
Se pretende ler mais artigos parecidos a Doenças transmitidas por saliva de cachorro, recomendamos que entre na nossa categoria de Outros problemas de saúde.
- Cross S.L, Bronze M.S. (2014). Pasteurella multocida infection. Disponible en: http://emedicine.medscape.com/ article/224920-overview
- Tercero, M. J., & Olalla, R. (2008). Hidati-dosis una zoonosis de distribución mun-dial. Ámbito Farmacéutico Parasitología, 27(9), 88-94.
