Erliquiose canina - sintomas, diagnóstico e tratamento
Ver fichas de Cachorros
Seu cachorro tem carrapatos? Você precisa estar alerta para certas doenças como a erliquiose canina. Infelizmente esta doença é bastante comum em cachorros que não estão devidamente desparasitados.
Se o seu cachorro foi diagnosticado pelo médico veterinário com esta doença ou simplesmente você quer saber mais sobre ela, neste artigo do PeritoAnimal vamos te explicar tudo aquilo que você precisa saber sobre a erliquiose canina causada pela picadura de carrapatos. Vamos repassar os sintomas, aclarar sobre o diagnóstico e quais os tratamentos mais recomendados.
O que é a Erliquiose canina?
A erliquiose canina é uma doença infecto-contagiosa, também conhecida por outros nomes como: Tifo canino, Febre hemorrágica canina ou Pancitopenia canina tropical. Os cachorros são infetados por esta doença através da picada do carrapato mais comum, o chamado carrapato marrom (Rhipicephalus sanguineus).
O carrapato é um reservatório, ou seja um portador, de uma bactéria chamada de Erlichia canis (antigamente chamado de Rickettsia canis) e ao picar o cachorro, a bactéria entra na corrente sanguínea do cachorro e vai afetar o sistema imunitário porque infeta os glóbulos brancos.
Os carrapatos picam cachorros infetados com a Erlichia canis e ficam com essas bactérias dentro deles. Depois, transmitem essa bactéria a outros cachorros saudáveis através da picadura. Por este motivo é tão importante o seu cachorro cumprir o protocolo de desparasitação definido pelo seu médico veterinário de confiança. O carrapato não transmite apenas esta doença, ele transmite também outras como a Babesiose, por exemplo.
Qualquer cachorro independentemente da raça ou sexo pode sofrer desta doença. Porém alguns estudos indicam que cachorros da raça Pastor Alemão são mais susceptíveis.
Erliquiose canina - sintomas
Os sintomas da erliquiose canina dependem do tipo de forma em que se manifesta esta doença que pode ser: aguda, subclínica e crônica.
Fase aguda
Após o período de incubação, depois do cachorro ser infetado, que dura geralmente entre 8 a 20 dias, surge a fase aguda da doença. Nesta etapa, a bactéria se prolifera dentro das células e afeta principalmente o fígado, baço e linfonodos. O mais habitual é que esta fase dure entre 2 e 4 semanas.
Nesta fase o cachorro com erliquiose canina pode apresentar os seguintes sintomas:
- Febre
- Depressão
- Letargia
- Anorexia
- Hemorragias
- Lesões nos olhos: uveíte, hemorragias etc.
- Problemas respiratórios
Por vezes, podem existir sintomas neurológicos da erliquiose canina como consequência de uma meningite. Isto acontece porque as células afetadas pelas bactérias são levadas a várias partes do corpo do cachorro, inclusive as meninges. Assim, podem ocorrer tremores intensos, ataxias e outros sinais neurológicos.
Fase subclínica
Nesta segunda fase, os sintomas não são evidentes e ela costuma durar entre 6 e 9 semanas aproximadamente. Ou seja, nesta fase, você não terá facilidade em observar qualquer tipo de sintomas no cachorro. Porém, as alterações existem a nível hematológico e podem ser detectadas pelo seu médico veterinário: trombocitopenia, leucopenia e anemia.
Fase crônica
Se o sistema imunitário do cachorro funcionar corretamente, ele ficará um portador crônico sem sintomas. Porém, caso o cachorro tenha sintomas da doença, estes serão semelhantes aos da fase aguda mas de uma forma muito mais grave. Você poderá ver o cachorro com os seguintes sintomas:
- Apatia
- Caquexia
- Infeções secundárias
- Perda de peso
- Hemorragias
- Mucosas pálidas
Diagnóstico da erliquiose canina
Apenas um médico veterinário poderá fazer um correto diagnóstico da erliquiose canina. O diagnóstico desta doença nem sempre é fácil, já que os sintomas são semelhantes a muitas outras doenças. De qualquer forma, se o seu cachorro tiver um carrapato e algum dos sinais clínicos, isso já pode ser um indício de que possa se tratar desta doença.
O seu médico veterinário, após fazer um exame físico completo e ouvir toda a história (chamada de anamnese) que você contar para ele, fará exames hematológicos para confirmar.
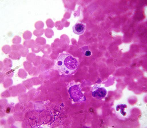
O principal método de diagnóstico é o chamado de esfregaço sanguíneo. Com este método o médico veterinário utiliza uma gota de sangue que observará no microscópio e confirma a presença de Erlichia canis. Este método é o mais econômico e rápido mas nem sempre é o mais eficaz porque como referimos, esta bactérias circula pela corrente sanguínea e pode não estar uma baxctéria nessa gota de sangue mas existir na corrente sanguínea. Por esse motivo, existem outros métodos de diagnóstico que o seu médico veterinário pode optar por utilizar caso não detecte a bactéria no esfregaço de sangue, como a reação de polimerase em cadeira (PCR) e a imunofluorescência indireta (IFI).
Erliquiose canina pega em humanos?
Durante várias décadas se acreditou que as erliquioses eram "espécie-específicas", ou seja, que apenas eram transmitidas dentro da mesma espécie. Porém, várias espécies diferentes de Ehrlichia foram encontrados em humanos e os casos de erliquiose humana têm aumentando em vários países e por isso acredita-se que possa ter um potencial zoonótico. Se o seu cachorro tem erliquiose canina não se preocupe que ele não vai pegar em você.
No Brasil a erliquiose humana é, felizmente, pouco comum.
Erliquiose canina tem cura?
O tratamento da erliquiose canina depende da fase em que o seu cachorro se encontrar. O principal tratamento, especialmente na fase crônica, é o tratamento de suporte, em que o o médico veterinário utiliza a fluidoterapia e pode inclusive precisar fazer transfusões sanguíneas para compensar as hemorragias do cachorro.
Aliado a um bom tratamento de suporte, o veterinário pode administrar diferentes fármacos para combater a erliquiose, principalmente antibióticos, como a doxiciclina. Para além disso, devem ser feitos tratamentos para a sintomatologia associada apresentada.
Prevenção da Erliquiose canina
O principalmente método de combate desta doença, tal como todas as outras, é a prevenção. Não existe nenhum tipo de vacina contra a erliquiose e a única maneira de prevenir é fazer um correto protocolo de desparasitação para evitar os carrapatos.
Se você adotar um novo cachorro, é importante que o mantenha separado dos outros cachorros enquanto ele não estiver devidamente desparasitado. Este é um dos motivos pelos quais uma quarentena de novos cachorros nos canis é tão importante.
Este artigo é meramente informativo, no PeritoAnimal.com.br não temos capacidade para receitar tratamentos veterinários nem realizar nenhum tipo de diagnóstico. Sugerimos-lhe que leve o seu animal de estimação ao veterinário no caso de apresentar qualquer tipo de condição ou mal-estar.
Se pretende ler mais artigos parecidos a Erliquiose canina - sintomas, diagnóstico e tratamento, recomendamos que entre na nossa categoria de Doenças parasitárias.
- Silva, I. P. M. (2015) Erlichiosis canine - literature review. Revista científica de medicina veterinária. N. 24
- Harrus, S. Waner, T. (2011) Diagnosis of canine monocytropic erlichiosis (ehrlichia canis): An overview. The veterinary journal. n 187 p. 292-296
