Babesiose canina (piroplasmose) - O que precisa saber!
Ver fichas de Cachorros
A Babesiose canina é uma doença que pode ser grave se não descoberta a tempo, inclusive levando o animal a óbito.
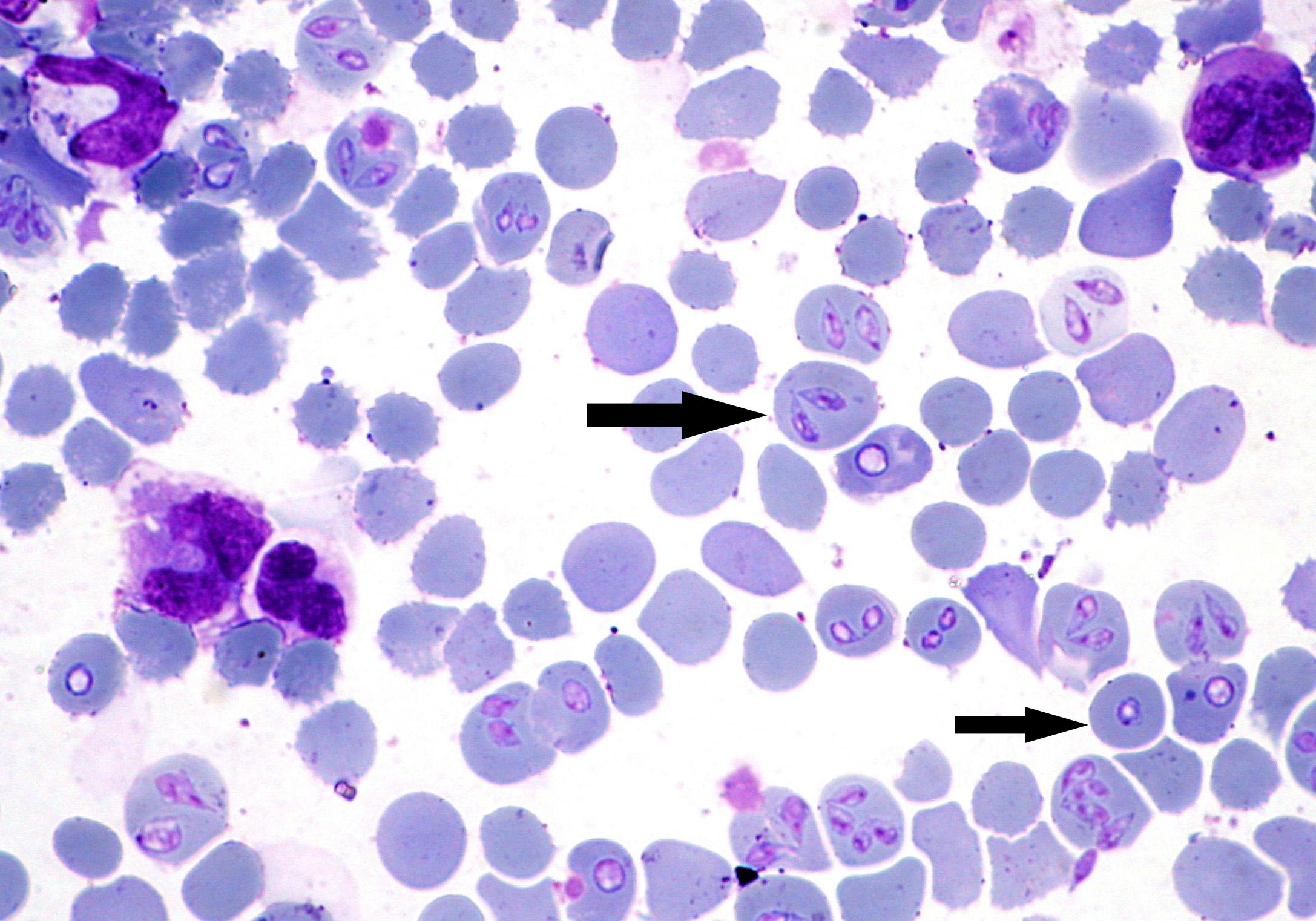
Também é conhecida como piroplasmose, a doença é causada por um protozoário chamado de Babesia canis. Este protozoário é um hematozoário, ou seja, ele se reproduz na corrente sanguínea e se alimenta dos componentes sanguíneos do animal, especificamente os glóbulos vermelhos.
Este protozoário pode ser encontrado no mundo todo, e sua forma de transmissão mais comum é pelo Rhipicephalus sanguineus (parasita que você vê na imagem), mais conhecido como carrapato marrom ou carrapato vermelho do cão.
Para ler tudo o que você precisa saber sobre a Babesiose canina ou Piroplasmose, continue aqui no PeritoAnimal.
O que é a Babesiose canina?
A Babesiose canina ou Piroplasmose é um assunto muito importante, pois frequentemente leva o cachorro à morte, e está diretamente relacionada com a presença de carrapatos no animal e no ambiente. Como este protozoário infecta as hemácias do sangue, que são os glóbulos vermelhos, ele também é conhecido pelo termo hematozoário.
O protozoário transmite a piroplasmose por meio do carrapato marrom, que é o carrapato que mais comumente infecta cães, chamado de Rhipicephalus sanguineus. Carrapatos não são comumente encontrados em gatos, porém como o protozoário apresenta diversas espécies, há dentre eles a espécie Babesia canis, que infecta cães, Babesia felis e Babesia cati, que é o hematozoário específico responsável por infectar gatos através do mesmo carrapato.
A babesiose canina pode ser confundida com a Doença do Carrapato, pelo fato de o protozoário ser transmitido por um carrapato. Então, para saber mais sobre a Doença do Carrapato em Cães - Sintomas e Tratamento veja esse outro artigo do PeritoAnimal.
Transmissão da Babesiose Canina
Os carrapatos são o fator mais importante de transmissão para a babesiose canina, daí a importância de se combater os carrapatos.
Carrapatos são artrópodes da ordem dos Ácaros, ectoparasitas que se alimentam de sangue e responsáveis pela transmissão de diversas doenças a cães, gatos, cavalos, bois, diversos outros mamíferos e inclusive aos seres humanos. São seres sensíveis a luz, e por isso, preferem ambientes escuros onde possam se esconder. Devido a isso, frequentemente se alojam nos cães em locais de difícil acesso como entre os dedos, axilas e orelhas, por serem ambientes com baixa luminosidade e quentes, perfeitos para sua alimentação e procriação. As fêmeas deste carrapato (Rhipicephalus sanguineus) são capazes de colocarem de 2.000 a 3.000 ovos por dia, porém não botam seus ovos diretamente no hospedeiro, durante a noite elas descem do cachorro e botam seus ovos na caminha ou ambiente em que o cão tem acesso. Quando os ovos eclodem em larvas e estas sofrem a muda para ninfas, sobem novamente no cão-hospedeiro até se tornarem adultos e recomeçarem o ciclo.
Para saber mais a respeito de outras Doenças que os carrapatos podem transmitir veja esse artigo do PeritoAnimal.
A transmissão do Babesia canis, o hematozoário, acontece quando um carrapato infectado pica um animal sadio. Com o intuito de se alimentar do sangue, o carrapato, então, injeta saliva no cão-hospedeiro, já que esta saliva possui propriedades anticoagulantes tornando mais fácil para o carrapato se alimentar do sangue do hospedeiro. Todavia, com isso acaba inoculando o hematozoário causador da piroplasmose na corrente sanguínea do cão.
Ao adentrar na corrente sanguínea do animal, o protozoário penetra nas hemácias (glóbulos vermelhos do sangue), se alimentando de seus nutrientes e se reproduzindo no interior dessas células, até que o número de protozoários no interior da célula fica tão grande que a célula se rompe, liberando ainda mais protozoários na corrente sanguínea que penetram outras células e assim por diante. É devido a isto, que ocorre um dos sintomas mais importantes da babesiose canina e que falaremos a seguir.
Sintomas da Babesiose canina
Os sinais clínicos ou sintomas dependerão do grau de infestação e de evolução do quadro. Assim que um cachorro é infectado a doença ainda pode levar meses para aparecer, pois o parasita pode permanecer em um estado de latência onde aguarda pela melhor oportunidade indicada pela baixa de imunidade do cão, ou seja, um cachorro pode estar infectado pelo protozoário da piroplasmose sem sinal nenhum da doença, porém, no momento em que sua imunidade cai ele manifesta a doença.
Como dito anteriormente, este protozoário parasita os células vermelhas do sangue, e isto causa, portanto, um dos sintomas mais importantes que é a anemia. Outros sintomas da babesiose canina podem ser:
- Perda de apetite.
- Febre.
- Mucosas pálidas ou ictéricas (amareladas).
- Prostração.
- Depressão.
- Possíveis problemas na coagulação sanguínea.
Todavia, alguns dos sintomas iniciais que indicam uma infecção como febre e depressão podem passar desapercebidos pelos tutores. E quando o tutor percebe que o animal não interage mais (prostração) e para de comer, ao levá-lo no veterinário e constatando-se a doença, a anemia geralmente já se encontra em estágio avançado, tornando o prognóstico de difícil tratamento. Por isso, é necessário ficarmos sempre atentos a qualquer um destes sinais, principalmente se você encontrou algum carrapato em seu animal ou até mesmo andando nas paredes ou quintal de sua casa recentemente.
Quadro clínico da Babesiose canina
A piroplasmose ou babesiose ainda pode se manifestar de 3 formas diferentes, ou 3 fases, de acordo com o grau de evolução da doença.
- Fase Hiperaguda: Rara de acontecer, porém extremamente grave, já que o animal pode vir a falecer em até 3 dias devido a danos extensos nas células sanguíneas o que leva a uma anemia grave. Acomete mais filhotes ou cães idosos, já que possuem uma imunidade comprometida.
- Fase Aguda: Ocorre anemia acentuada com o aparecimento de febre, prostração, falta de apetite e fraqueza generalizada. O exame clínico também pode indicar aumento do baço e dos linfonodos. E devido a problemas nas propriedades anticoagulantes do sangue, o animal frequentemente perde sangue pela urina.
- Fase Crônica: Quando a doença se apresenta dessa forma, ela é considerada branda pois o animal não apresenta sintomas característicos da Piroplasmose. O cachorro pode apresentar febre intermitente e perda de peso com uma leve diminuição do apetite e acometimento dos linfonodos. Isso pode dificultar no diagnóstico da doença, e se não descoberta a tempo, quando o animal apresentar queda de imunidade ela pode se manifestar de forma mais agravante.
Importante ainda, ressaltar que por se tratar de uma doença sistêmica, ou seja, como acomete toda a irrigação e vasos sanguíneos do corpo, as complicações clínicas podem ser observadas em outros órgãos do corpo como fígado, baço, rins, cérebro e coração.
Diagnóstico da Babesiose Canina
O diagnóstico correto da Babesiose canina deve ser feito por médico veterinário competente, pois apenas ele tem o conhecimento técnico e científico suficiente para realizar a anamnese obtendo o histórico detalhado do paciente.
Feito o exame físico pelo veterinário, ele então poderá solicitar exames complementares importantes que auxiliarão no fechamento do diagnóstico e confirmação da suspeita, que podem ser:
- Exames de sangue completos como hemograma, testes sorológicos e PCR.
- Ultrassom, em especial da região abdominal, com o intuito de constatar alterações em outros órgãos como o baço, que pode estar aumentado.
É importante que o diagnóstico seja confirmado o mais rápido possível e que o tutor não demore muito para realizar os exames solicitados pelo médico veterinário, já que o início do tratamento e a vida do seu animal depende disso.
Tratamento da Babesiose Canina
Após a confirmação da suspeita e fechamento correto do diagnóstico pelo médico veterinário, ele constatará qual o prognóstico do cachorro, instituindo a terapia a ser seguida.
Caso o prognóstico seja bom, o médico veterinário receitará os medicamentos veterinários necessários e logo o cão estará habilitado a continuar o tratamento em casa, sob os cuidados do tutor.
Em casos mais graves da doença, porém, é necessário a internação do cachorro para alimentação por sonda e, inclusive, a transfusão sanguínea em casos de anemia severa.
Não tente tratamentos caseiros, pois é uma doença séria e que pode se agravar levando o seu cachorrinho a morte, se não tratada corretamente por um médico veterinário.
Prevenção da Babesiose Canina
Tendo em vista que se trata de uma doença transmitida por um carrapato, a melhor forma de prevenção para a Piroplasmose é manter nossos cachorros sempre livres de carrapatos e outros parasitas.
Existem no mercado pet, diversos pour-on ou pipetas antipulgas, que também previnem e protegem contra carrapatos, devendo serem aplicados em nossos cães mensalmente, de acordo com as indicações do produto.
O ambiente em que o animal vive também deve ser higienizado constantemente, podendo o tutor fazer uso preventivo de antiparasitários específicos para o ambiente ou até mesmo de uma técnica popular conhecida como Vassoura de Fogo. É uma técnica utilizada em grandes fazendas para desparasitar uma grande quantidade de baias em que os animais vivem, e que acabou por ser adaptada por algumas pessoas que possuem quintais muito grandes onde a eliminação total dos carrapatos tornava-se um desafio.
A vassoura de fogo nada mais é do que um lança-chamas, onde acopla-se um maçarico em um botijão de gás. Passa-se o fogo no quintal em que os animais dormem e ficam, e nas paredes, já que os carrapatos são capazes de atingirem o alto das paredes e muros. Não tente fazer isso em casa sozinho, sem a ajuda de um responsável ou alguém que entenda do assunto.
Este artigo é meramente informativo, no PeritoAnimal.com.br não temos capacidade para receitar tratamentos veterinários nem realizar nenhum tipo de diagnóstico. Sugerimos-lhe que leve o seu animal de estimação ao veterinário no caso de apresentar qualquer tipo de condição ou mal-estar.
Se pretende ler mais artigos parecidos a Babesiose canina (piroplasmose) - O que precisa saber!, recomendamos que entre na nossa categoria de Doenças infecciosas.
