Osteossarcoma em cães - Sintomas e tratamento
Ver fichas de Cachorros
Você já ouviu falar do câncer nos ossos em cachorros? Atualmente, sabemos que os animais de companhia por excelência, cães e gatos, são suscetíveis a inúmeras merosas doenças que também podemos observar em humanos. Felizmente, este conhecimento crescente também se deve a uma medicina veterinária que evoluiu e agora tem múltiplos métodos diagnósticos e terapêuticos.
Estudos sobre a incidência de tumores em cães estimam que aproximadamente 1 em cada 4 cães desenvolverá algum tipo de câncer durante sua vida, daí a importância de conhecer este tipo de patologia, a fim de diagnosticar e tratá-los o mais cedo possível. Neste artigo do PeritoAnimal falaremos especificamente sobre o osteossarcoma em cães, focando em seus principais sintomas, diagnóstico e tratamento.
O que é um osteossarcoma em cães
O osteossarcoma é o tumor ósseo primário mais comum em cães, sendo responsável por 85% dos tumores esqueléticos primários. É necessário esclarecer que o termo "tumor primário" se refere a um tipo de tumor que se origina do próprio osso.
Esta distinção é importante, pois existem outros tumores ósseos malignos que não são primários, mas são metástases ósseas que aparecem como consequência da disseminação de um tumor presente em outra parte do organismo.
Especificamente, o osteossarcoma é um tumor maligno (ou seja, um tipo de câncer ósseo em cães), que se caracteriza por ser localmente invasivo e ter uma alta tendência à metástase. A taxa metastática é próxima de 90%, sendo o pulmão, tecido mole e outros ossos os locais mais comuns de metástase. Deve-se notar que, embora as metástases apareçam frequentemente no início da doença, elas geralmente não geram sinais clínicos, o que complica sua detecção.
Geralmente, este tumor é chamado de "osteossarcoma apendicular canino" porque geralmente afeta o esqueleto apendicular, ou seja, os membros dos cães. Especificamente, ele geralmente ocorre:
- No caso do membro dianteiro: longe do cotovelo, ou seja, no úmero proximal ou no raio distal.
- No caso dos membros posteriores: perto do joelho, ou seja, no fêmur distal ou na tíbia proximal.
As raças grandes e gigantes são particularmente predispostas ao osteossarcoma e este tipo de câncer nos ossos em cachorros são mais comuns nos machos do que nas fêmeas. Embora possa ocorrer em qualquer idade, cães jovens de 18 a 24 meses e cães adultos com idade média de 7 anos são geralmente afetados.
O que causa osteossarcoma em cães?
Atualmente, a etiologia da maioria dos tumores em cães permanece desconhecida e, infelizmente, o osteossarcoma não é exceção. No entanto, há algumas evidências da possível origem desses tumores, que são mencionadas a seguir:
- O fato de existirem certas raças que são particularmente predispostas, como o galgo escocês, rottweiler, galgos, são bernardo e o lébrel irlandês, parece indicar que existe alguma hereditariedade na doença: em particular, para o galgo escocês, foi demonstrado um risco de hereditariedade de 69%.
- Por outro lado, parece que existem certos fatores físicos que podem predispor ao aparecimento do osteossarcoma em cães: neste sentido, observou-se que o osteossarcoma aparece mais frequentemente nos ossos que suportam mais peso. Além disso, existem certas lesões que foram ligadas ao desenvolvimento desses tumores, como fraturas ósseas, a colocação de implantes ortopédicos ou a existência de outras doenças ósseas (como osteomielite, cistos ósseos ou tumores benignos). Entretanto, a grande maioria dos tumores ósseos primários surge espontaneamente, sem uma causa clara.
Sintomas do osteossarcoma em cães
O histórico clínico dos cães com câncer nos ossos é variável, embora existam certos padrões comuns. No caso do osteossarcoma, os sintomas iniciais são frequentemente:
- Coxeio crônico e progressivo: com o tempo, a falta de apoio do membro afetado resulta em atrofia muscular acentuada, fazendo o cachorro mancar.
- Dor severa.
- Áreas de inflamação: com inchaço.
- Massa dura, visível e palpável: um caroço surge especialmente em locais onde o osso está coberto por pouco tecido branco.
Diagnóstico do osteossarcoma em cães
Tendo explicado o que é osteossarcoma em cães e quais são os sintomas deste câncer nos ossos, você pode estar se perguntando como saber se o cachorro tem osteosarcoma. Bem, para identificar o problema, é necessário realizar um bom protocolo de diagnóstico, que inclui os seguintes pontos:
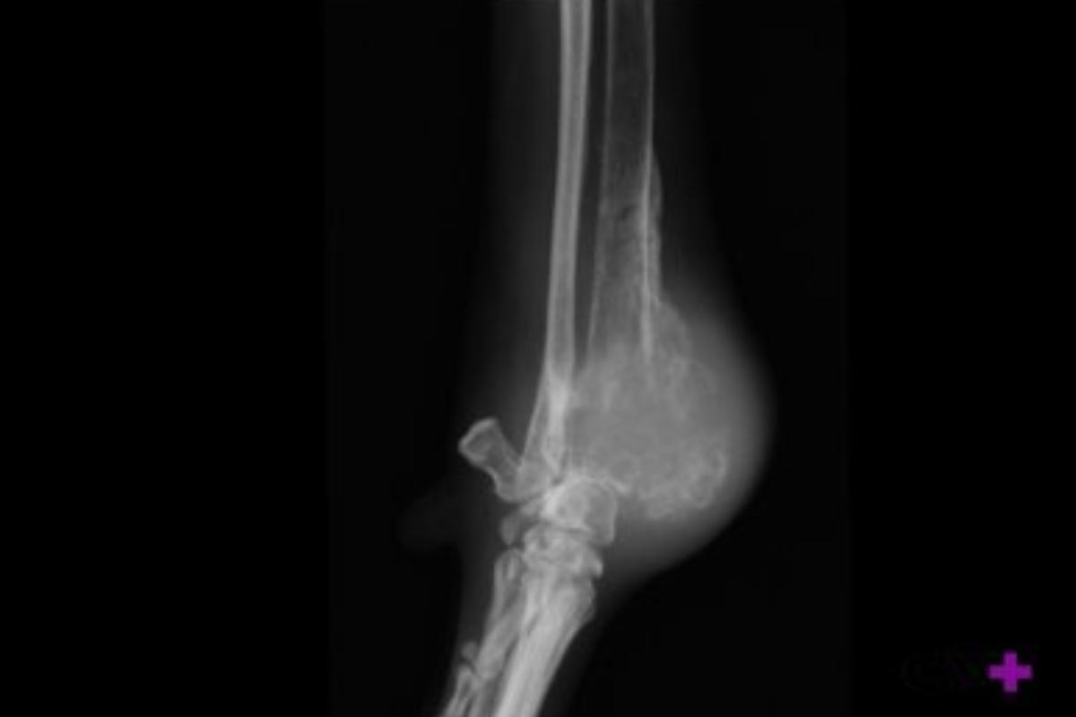
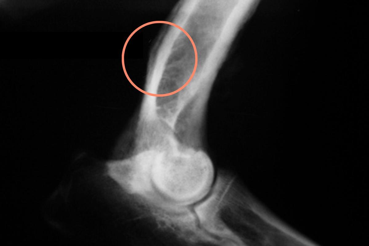
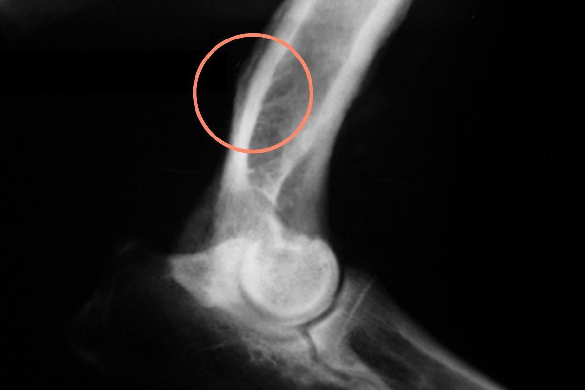
- Radiografia: lesões com margens irregulares e mal definidas, especialmente quando aparecem nos locais mais frequentes deste tumor, nos fazem suspeitar da existência do osteossarcoma canino. Além disso, as fraturas podem às vezes ser vistas na radiografia, pois uma pequena porcentagem de cães com osteossarcoma pode ter fraturas patológicas, ou seja, fraturas resultantes de danos ósseos causados pelo tumor. Vale mencionar que os exames de imagem permitem um diagnóstico presuntivo, mas para se chegar a um diagnóstico definitivo são necessários os seguintes exames:
- Citologia: consiste em colher uma amostra de tecido por aspiração de agulha fina e observá-la ao microscópio. É uma técnica rápida, não invasiva e de baixo custo que permite o diagnóstico da existência de um tumor mesenquimatoso. Entretanto, para conhecer o tipo específico de tumor, é necessário recorrer ao último teste.
- Exame histopatológico: o diagnóstico definitivo do osteossarcoma pode ser feito fazendo uma biópsia óssea e examinando-o ao microscópio. No entanto, é comum realizar a cirurgia após o diagnóstico citológico, e uma vez que o tumor tenha sido removido, confirmar o diagnóstico através do exame histopatológico do tecido removido.
Além disso, dada a alta taxa de metástases do osteossarcoma canino, é essencial realizar um exame físico completo e completo, incluindo exames ortopédicos e neurológicos, exames de imagem em outras regiões do corpo, exames de sangue e urina, para determinar o estado geral do paciente e descartar a possível presença de metástases que condicionam o tratamento e o prognóstico do animal.
Não hesite em dar uma olhada no seguinte post do PeritoAnimal sobre "Como interpretar um exame de sangue de um cachorro".
Tratamento do osteossarcoma em cães
Em cães com osteossarcoma, é essencial implementar um tratamento analgésico eficaz desde o momento em que o diagnóstico é dado até a terapia específica do tumor, a fim de aliviar a dor causada por ele.
Entretanto, a administração "às cegas" de analgésicos e anti-inflamatórios pode mascarar a dor e retardar o diagnóstico do tumor, com o consequente risco de metástase. Por esta razão, a terapia analgésica nunca deve ser iniciada sem um protocolo de diagnóstico paralelo para determinar o processo patológico que está causando a dor.
Uma vez controlada a dor, um tratamento específico para o osteossarcoma deve ser proposto, o que dependerá do estágio clínico do animal e do grau de colaboração que o tutor possa oferecer. A este respeito:
- Em pacientes com metástases: o tratamento paliativo é geralmente considerado, baseado em analgésicos (com ou sem bisfosfonatos), amputação paliativa e/ou quimioterapia. Como a quimioterapia afeta os cães? Descubra a resposta neste outro artigo.
- Em pacientes sem metástases: o tratamento curativo pode ser considerado, com cirurgia (que pode ou não envolver amputação do membro) e quimioterapia.
Vale a pena mencionar que a radioterapia é um tratamento particularmente eficaz para o controle da dor em pacientes que não podem se submeter à cirurgia, mas infelizmente, é uma terapia muito cara e disponível em poucos locais.
Quanto tempo vive um cachorro com osteossarcoma?
Nos últimos anos, foram realizados vários estudos sobre os fatores associados a um pior prognóstico em cães com osteossarcoma. Os principais fatores que determinam o prognóstico e o tempo de sobrevivência de cães com osteossarcoma, são:
- Aumento do tamanho do tumor: assim como alto grau e alto índice mitótico, são sinais de mau prognóstico.
- A localização anatômica também influencia o prognóstico do animal. Em particular, os tumores localizados no nível do úmero têm um prognóstico pior. Em contraste, os osteossarcomas localizados distalmente ao cotovelo e ao joelho (ou seja, aqueles na extremidade dos membros) estão associados a uma sobrevivência mais longa, de cerca de 465 dias, em média.
- A existência de metástases no diagnóstico: isto também está associado a um pior prognóstico. A sobrevivência de cães com metástases no diagnóstico é de 76 dias em média, embora isto possa ser estendido para 4-8 meses se for instituído um tratamento paliativo adequado. Em cães sem metástases, o tempo de sobrevivência após tratamento cirúrgico e quimioterápico é, em média, de um ano.
- A idade também está associada ao aumento da mortalidade, embora não esteja necessariamente relacionada a um aumento do risco de metástases.
- Fosfatase alcalina: é um dos fatores prognósticos mais conhecidos para o osteossarcoma. É uma enzima produzida rotineiramente pelo organismo, que serve como um marcador para muitas doenças, incluindo o osteossarcoma. A fosfatase alcalina elevada está claramente associada a um pior prognóstico e a um tempo de sobrevivência mais curto.
Como prevenir o osteossarcoma em cães
Como mencionado antes, o osteossarcoma canino é um tumor de origem desconhecida, que geralmente aparece espontaneamente, sem uma causa predisponente clara. Este fato torna a prevenção da doença muito difícil. Entretanto, levando em conta o possível risco de hereditariedade do osteossarcoma, é importante evitar o cruzamento entre cães que foram afetados por esta doença.
Finalmente, o fato de que a prevenção do osteossarcoma é difícil aumenta a importância de diagnosticar a doença o mais cedo possível. O estabelecimento de tratamento adequado nos estágios iniciais do tumor, quando as metástases ainda não estão presentes, determinará de forma crucial o prognóstico e a expectativa de vida do animal. Portanto, no caso de qualquer sinal compatível com um osteossarcoma ou qualquer outro tumor ósseo, não hesite em visitar seu veterinário o mais rápido possível.
Agora que você já sabe tudo sobre o câncer nos ossos dos cachorros, não perca este outro artigo no qual falamos sobre os diferentes tipos de câncer em cães.
Este artigo é meramente informativo, no PeritoAnimal.com.br não temos capacidade para receitar tratamentos veterinários nem realizar nenhum tipo de diagnóstico. Sugerimos-lhe que leve o seu animal de estimação ao veterinário no caso de apresentar qualquer tipo de condição ou mal-estar.
Se pretende ler mais artigos parecidos a Osteossarcoma em cães - Sintomas e tratamento, recomendamos que entre na nossa categoria de Outros problemas de saúde.
- Belda, B., Lara, A., Lafuente, P. (2016). Osteosarcoma apendicular canino. ¿qué opciones tenemos? Revista AVEPA; 36(4)
- Cartagena, J.C., Moya, S., Engel, J., Borrego, J.F., Kamu, S. Diagnóstico y tratamiento del osteosarcoma canino.
