Giardíase em gatos - Sintomas e tratamento
Ver fichas de Gatos
As doenças parasitárias são muito comuns em mamíferos, sejam eles humanos ou animais. O modo de contágio e o grau de dano que elas produzem no corpo variam, mas em todos os casos, essas são condições que precisam ser tratadas.
Os gatos são animais conhecidos por sua cuidadosa rotina de higiene, mas às vezes, as lambidas que seu gato utiliza para se limpar, entre outras razões, podem ter consequências negativas para sua saúde, pois podem acabar contraindo a giárdia.
Nesta ocasião, no PeritoAnimal, queremos falar com você sobre a giardíase em gatos - sintomas e tratamento. É uma doença parasitária que se espalha por meios que você nem imaginaria, e que traz complicações para a saúde do seu gatinho e até mesmo para você.
O que é a giárdia e como afeta os gatos
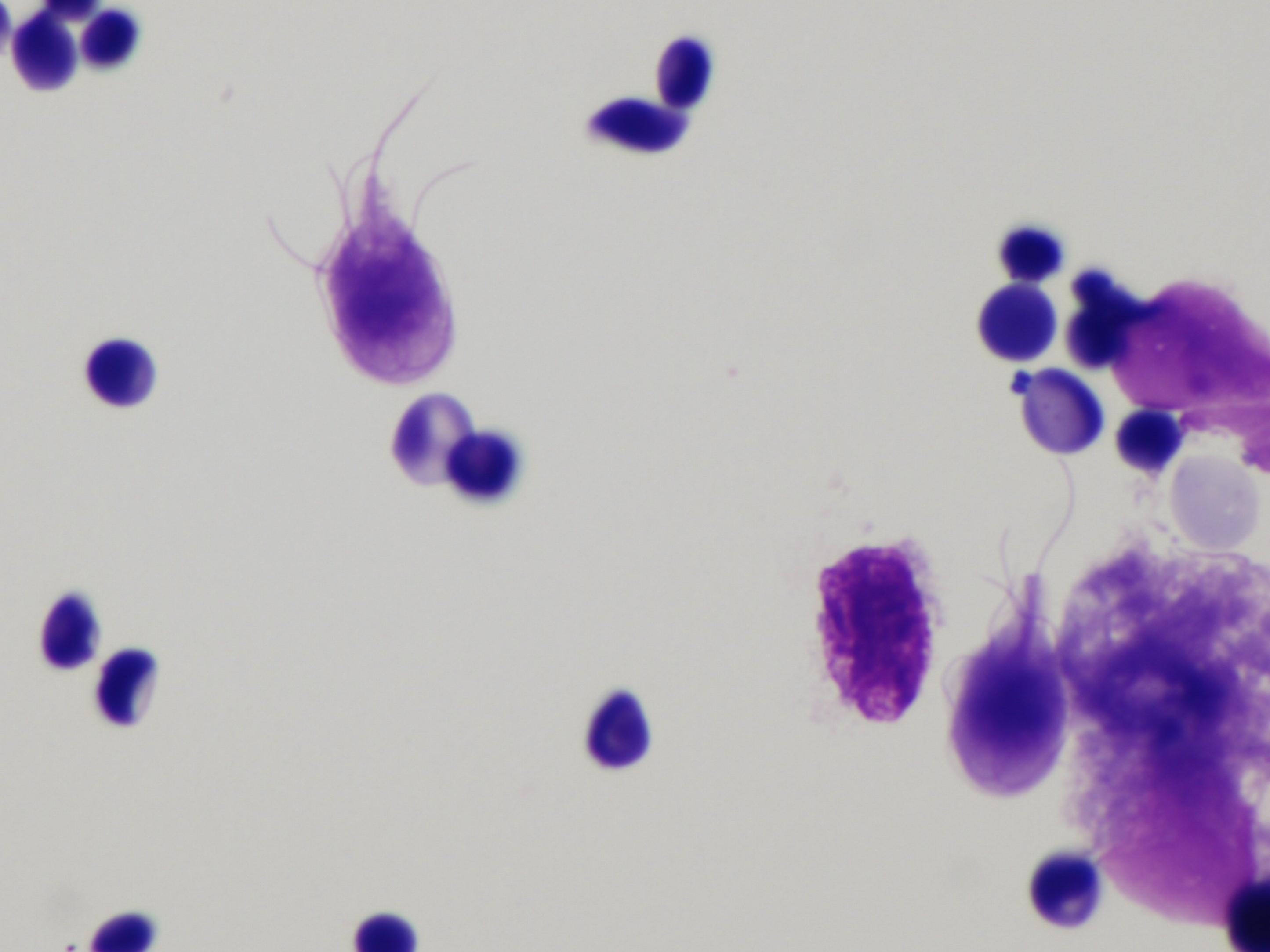
O nome "giárdia" se refere a um parasita protozoário capaz de fazer com que alguns mamíferos, como cães e gatos, desenvolvam uma doença chamada giardíase.
Giardia lambia ou Giardia intestinalis é o nome científico do parasita. É um organismo com a forma de um protozoário flagelado, impossível de avaliar sem um microscópio. Pode apresentar duas formas: a variedade trofócito, que é o próprio parasita nadando dentro do intestino, e o cisto da giárdia, que é uma forma dura e sem flagelo que pode sobreviver fora do gato, alojada em suas fezes em ambientes úmidos, esperando por um novo hospedeiro.
Ao entrar no corpo do gato, o trofócito viaja até o intestino e adere às suas paredes, o que acaba deformando esse órgão. Ao deformá-lo, o intestino deixa de realizar suas funções normais, por isso não absorve adequadamente as gorduras e vitaminas de que o gato precisa para ser saudável. Por isso a giárdia em gatos deve ser tratata o quanto antes.
O que é a giardiáse
A giardíase é uma doença produzida pela giárdia, um parasita que afeta o intestino delgado do animal e depois o grosso, produzindo problemas que afetam todo o sistema digestivo, deteriorando a saúde em geral do animal.
A giárdia em gatos, e consequentemente, a giardíase, é mais comum em animais com a imunidade baixa, como aqueles que sofrem de leucemia felina e síndrome da imunodeficiência felina, em animais muito jovens ou muito velhos, bem como em grandes colônias de gatos, como abrigos.
Raramente chega a causar a morte, mas se os sintomas forem ignorados, o gato pode descompensar a tal ponto que a infecção põe fim à sua vida. O parasita que produz a giardíase é altamente contagioso e pode até ser transmitido ao ser humano se o seu animal de estimação estiver infectado.
Como ocorre o contágio da giárdia em gatos
Se o seu gato tem acesso ao exterior da casa ou apartamento, o contágio é muito fácil, pois pode ocorrer de várias maneiras. A giárdia se incuba em ambientes úmidos e pouco higiênicos, portanto, é provável que seu animal de estimação adquira o parasita se:
- Ele se aproxima de locais onde outros animais defecam, pois pode entrar em contato com fezes contaminadas que contêm a giárdia em forma de cistos, onde se alojam até encontrar outro animal cujo organismo possam invadir. O contato com essas fezes, que podem grudar nas patas do seu gato e depois serem lambidas por ele, é suficiente para que o parasita se aloje em seu corpo.
- Beber em poças de água que outros gatos contaminaram com o parasita também é um meio de contágio.
- Uma gata contaminada pode passar a giárdia aos seus gatos filhotes.
- Na pelagem do animal, quando um dos gatos limpa a região anal e depois lambe outro felino.
Todos esses canais de contágio não ocorrem apenas quando seu gato sai de casa. Se você tiver um gatinho doente em casa e houver outros animais de estimação, eles podem ser infectados da mesma forma.
Sintomas da giárdia em gatos
Em alguns felinos, a giardíase pode ser assintomática, de modo que o gato pode conviver com o parasita durante vários anos sem nunca revelar nenhum tipo de desconforto. Outros casos, no entanto, apresentam alguns sintomas, como:
- Diarreia
- Flatulências
- Perda de apetite
- Náuseas e vômitos
- Fadiga
- Dor abdominal
- Desidratação
- Perda de peso
- Transtornos intestinais
A diarreia, seja crônica ou esporádica, costuma ser abundante e súbita, acompanhada de mau odor, muco e até mesmo sangue. Diante da combinação de vários desses sintomas, é necessário ir ao especialista para descartar a giárdia em gatos.
Diagnóstico da giardíase em gatos
Essa parte costuma ser complicada. Tecnicamente, a giárdia em gatos deve ser detectada flutuando nas fezes, quando é encontrada na forma de cisto. No entanto, nem todas as fezes contêm o parasita, portanto, detectar sua presença é difícil.
Não basta o veterinário examinar a amostra, ela deve ser enviada a um laboratório para análise. Se houver suspeita de giardíase e o parasita não puder ser visto na amostra, recomenda-se que o teste seja repetido várias vezes com alguns dias de intervalo, até que a existência do intruso possa ser confirmada ou descartada completamente.
Atualmente existe também um tipo de teste chamado Elisa, capaz de detectar a giardíase em apenas 8 minutos.
Tratamento para a giardíase em gatos
Quando identificamos a giárdia em gatos, e há o diagnóstico para giardíase, é necessário agir imediatamente para eliminar completamente o parasita e evitar que ele se infecte novamente. Geralmente os remédios para giárdia em gatos prescritos são o metronidazol e fembendazol, isoladamente ou em combinação. O tratamento tem duração de 7 ou 12 dias, dependendo do caso, e é necessário ser rigoroso na administração, pois um único dia de esquecimento pode ser suficiente para que as giárdias voltem a se fortalecer.
É importante fornecer ao seu gato água fresca suficiente para evitar complicações com a desidratação.
Em casos de diarreia, você deve limpar imediatamente o local onde o gato defecou, para manter os espaços limpos. Faça a limpeza utilizando luvas e, em seguida, limpe-se muito bem para evitar contrair o parasita.
Você pode precisar ajudar seu gatinho a limpar a região anal, pois a diarreia pode ser um pouco desastrosa. Remova todas as fezes remanescentes do pelo e da pele do gato para evitar que os cistos se alojem ali. Se o seu gato tiver pelo comprido, é aconselhável aparar um pouco a pelagem na área para evitar que a sujeira fique aderida.
A limpeza de todos os espaços onde o gato costuma ficar é fundamental para o tratamento. Lave esses locais com água sanitária diluída em água, esfregue bem e depois enxágue. Deixe o espaço secar completamente antes de permitir o acesso do animal, pois a giárdia se desenvolve em ambientes úmidos.
Prevenção da giárdia em gatos
Será que dá para prevenir o gato da giardíase? A resposta é sim. Existem medidas simples que podem proteger seu gato de contrair esta doença:
- Há uma vacina contra a giardíase. Ela não previne seu contágio 100%, mas reduz a possibilidade de infecção. Consulte seu veterinário.
- Mantenha um regime de higiene dos espaços utilizados pelo felino, seja caixa de areia, cama, brinquedos, comedouros, etc. Desta maneira, você evitará o aparecimento de bactérias.
- Não deixe seu gato entrar em contato com animais de rua.
- Não permita que ele use o banheiro de outros animais ou beba água no mesmo lugar que os outros.
- Em caso de diarreia, espere alguns dias e, se não desaparecer, vá ao veterinário.
- Faça um check-up periódico da saúde do gato.
Este artigo é meramente informativo, no PeritoAnimal.com.br não temos capacidade para receitar tratamentos veterinários nem realizar nenhum tipo de diagnóstico. Sugerimos-lhe que leve o seu animal de estimação ao veterinário no caso de apresentar qualquer tipo de condição ou mal-estar.
Se pretende ler mais artigos parecidos a Giardíase em gatos - Sintomas e tratamento, recomendamos que entre na nossa categoria de Doenças parasitárias.
- CAVALINI, Priscila Paes; ZAPPA, Vanessa. Giardíase felina-revisão de literatura. Revista Científica Eletrônica de Medicina Veterinária, 2011, no 16. Disponível em: <http://faef.revista.inf.br/imagens_arquivos/arquivos_destaque/SQPBNAqBpoH7XPY_2013-6-26-11-8-48.pdf>. Acesso em 23 de julho de 2021.
