Doenças comuns em akita americano
Ver fichas de Cachorros
O Akita americano é um cachorro que encanta principalmente pela grande lealdade. Poucas raças caninas demonstraram às famílias humana tanta dedicação como este cachorro, que para além da sua personalidade fiel, tem características físicas muito chamativas devido ao tamanho e robustez da raça.
Adotar um akita americano é uma grande responsabilidade já que requer tempo suficiente para proporcionar ao cachorro uma educação adequada. Para além disso, é essencial que o futuro tutor esteja consciente das doenças comuns na raça akita para saber como atuar de forma adequada, caso seja necessário.
Por isso, neste artigo do PeritoAnimal vamos te explicar tudo sobre as doenças mais comuns em akitas.
A saúde do akita americano
O akita americano é um cachorro robusto e forte, cuja esperança média de vida se situa entre os 9 e os 10 anos. Apesar disso, se você proporcionar para ele os cuidados necessários, ele pode ultrapassar essa idade.
Você deve relembrar que para que o seu cachorro tenha uma boa qualidade de vida durante a velhice, é importante que não apenas proporcionar os cuidados necessários, como também uma dieta adequada, respeitando a quantidade de comida necessária para um akita americano e escolhendo uma ração adequada que supra todas as necessidades nutricionais específicas desta espécie. Se você prefere fazer uma dieta caseira, esta deve ser acompanhada por um especialista em nutrição animal, para que seja feita uma dieta não apenas específica para a raça mas para o animal em si. Cada animal tem necessidades nutricionais diferentes, daí a grande importância do acompanhamento regular pelo veterinário que ajustará a dieta à idade, peso e estado do animal.
Para além disso, é importante que ao longo de toda a vida o cachorro tenha um adequado exercício físico para que se mantenha saudável e em forma. Uma excelente forma de exercitar o seu cachorro é através do adestramento, que para além de ser um excelente estímulo físico e mental, ajuda a melhorar a sua relação com ele.
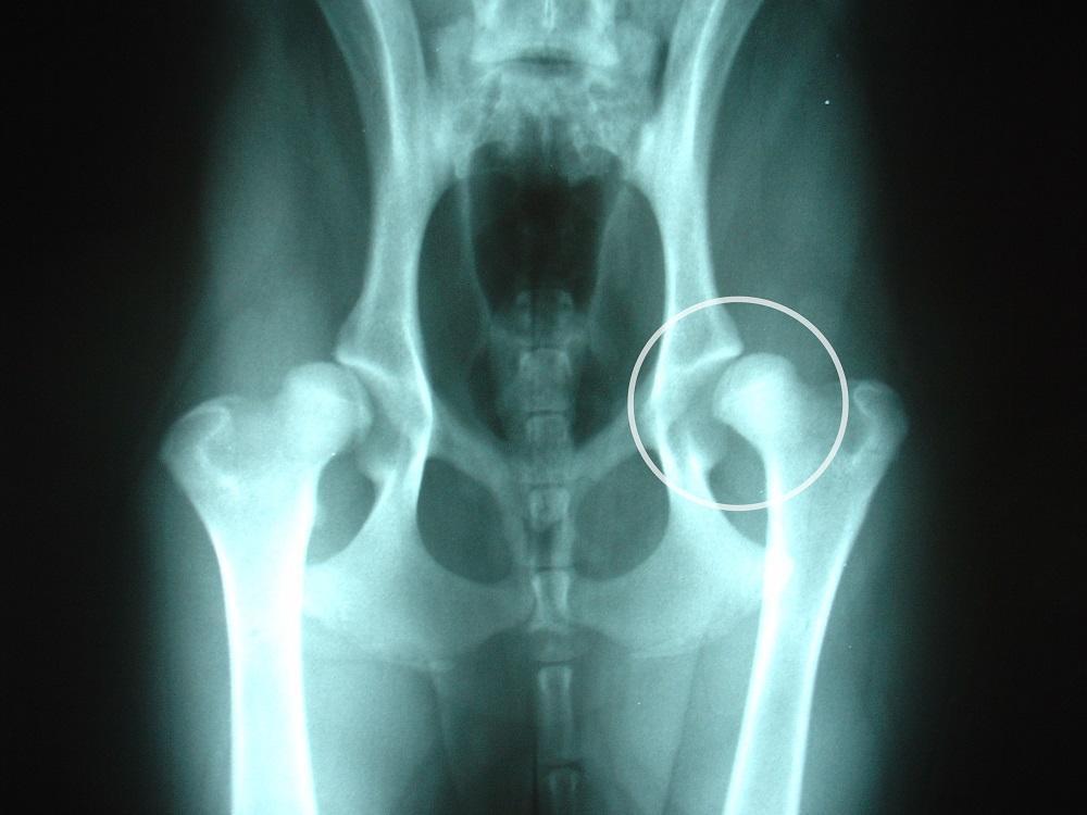
Doenças genéticas do akita - displasia do quadril
A displasia do quadril pode afetar qualquer cachorro, mas é especialmente comum em cachorros de raças grandes. Se trata de uma doença que impede o correto desenvolvimento da articulação durante o crescimento, fazendo com que se desloque lateralmente e com o tempo começa a afetar o movimento normal do cachorro.
Devido a este problema, o cachorro começa tendo muitas dificuldades em realizar as atividades quotidianas dele, sentindo dor e chegando mesmo a mancar. Se trata de uma doença hereditária e como tal, é importante que os criadores que vendem esta raça possam fornecer um certificado que confirme que os progenitores desse filhote não sofrem desta doença.
Para evitar que o akita americano desenvolva displasia do quadril é importante evitar os movimentos bruscos até que o cachorro alcance um ano de idade. Porém, uma vez que o cachorro desenvolva esta doença, você deve seguir exercitando ele para evitar a atrofia muscular. Leia o nosso artigo sobre os exercícios para cachorro com displasia de quadril e não hesite em consultar o seu médico veterinário de confiança para fazer o despiste desta doença.
Doenças de pele em akita - eczema
O tipo de pelagem do akita americano faz com que esta raça seja mais propensa a sofrer de eczemas, ou seja, uma inflamação da pele ou dermatite acompanhada de uma coceira intensa. Durante a época de muda, os cachorros akita são mais susceptíveis de sofrer deste problema cutâneo. De qualquer forma, você pode prevenir de forma simples este problema se escovar o cachorro diariamente durante o outono e a primavera.
Para além disso, deste modo você pode observar se existir alguma alteração na pele do seu cachorro e acudir rapidamente ao seu médico veterinário de confiança. Como qualquer outro problema, quanto mais rápido for identificado e tratado, melhor será o prognóstico. Por isso, não hesite em consultar o seu veterinário assim que notar que algo não está bem com o seu cachorro.
Torção gástrica em cachorros akita
A torção gástrica em cães afeta com maior frequência raças grandes, sendo as consequências fatais se não for tratada a tempo, já que a mortalidade dos cachorros não tratados é de 100% e de cachorros tratados de 38%.
A torção acontece quando o estômago dilata devido à acumulação de gases o que faz com que os ligamentos sejam danificados e se produza uma torção do intestino, o que bloqueia o fluxo sanguíneo.
O certo é que podemos tentar prevenir uma torção gástrica se tivermos os devidos cuidados com o nosso cachorro, como por exemplo não lhe devemos dar comida imediatamente antes do passeio, mas sim depois. Uma dieta de qualidade e garantir que o cachorro não coma de forma repentina, utilizando por exemplo, dispensadores de comida, é uma forma eficaz de tentar combater esse problema.
Os sinais clínicos que demonstra um cachorro com torção gástrica são:
- O cachorro está inquieto, olha para o chão ou para a barriga dele;
 - Dor e inflamação na zona abdominal, que ao ser percutida faz um som como de um tambor;
 - O cachorro apresenta náuseas mas não consegue vomitar.
 
Se você suspeita que o seu cachorro está com este problema, deve acudir com urgência ao médico veterinário, já que quanto mais rápidamente ele seja atendido, mais alta é a probabilidade de sobreviver.
Este artigo é meramente informativo, no PeritoAnimal.com.br não temos capacidade para receitar tratamentos veterinários nem realizar nenhum tipo de diagnóstico. Sugerimos-lhe que leve o seu animal de estimação ao veterinário no caso de apresentar qualquer tipo de condição ou mal-estar.
Se pretende ler mais artigos parecidos a Doenças comuns em akita americano, recomendamos que entre na nossa categoria de Prevenção.
